Orthodontics at Giddani Health Group Ltd
Straight Teeth. Confident Smiles.
At Giddani Health Group Ltd, we believe a healthy smile should also look its best.
Our orthodontic treatments gently guide your teeth into the right position for lasting results.


What is Orthodontics?
Orthodontics corrects the alignment of your teeth and jaws.
It improves how your teeth look, bite, and function.
Modern treatments are discreet, comfortable, and effective.
Invisalign - Clear, Comfortable, and Removable.
Larkham House Dental Practice
Modbury Dental Practice
Invisalign Provider:
Dr Kate Rowe (Diamond Status)
Learn more:
Abbey Mead Dental & Implant Clinic
Invisalign Provider:
Learn more:
SureSmile – Precision Orthodontics
Larkham House Dental Practice
SureSmile Provider:
Learn more:
Why Choose Our Orthodontic Services?
Multiple treatment options.
- Invisalign
- SureSmile
Experienced clinicians at each practice.
Modern technology for accuracy and comfort.
- Itero Scanner
- PrimeScan Scanner
- OPG/CBCT
Supportive care from start to finish.
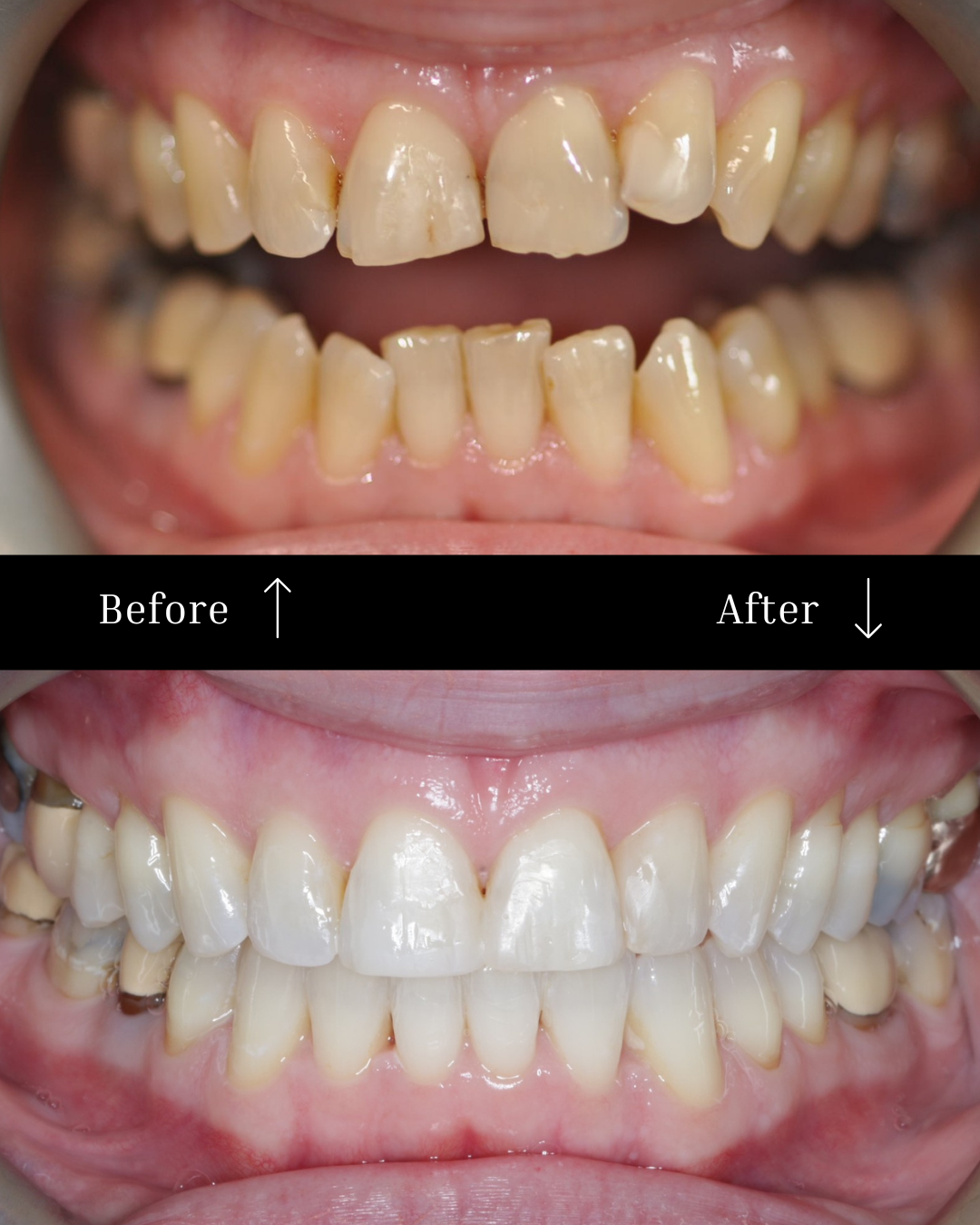
See the Difference with Clear Aligners.
Our patients have transformed their smiles with Invisalign and SureSmile treatments.




These real results show how discreet, comfortable aligners can achieve a straighter, healthier smile.





